口腔癌の特徴と症状
口腔がんの症状
痛い、口内炎、潰瘍、びらん、出血、しこり、はれ、赤い、新しい入れ歯が合わない、しびれ・麻痺、原因不明の歯のぐらつき、抜歯後なかなか治らない、首のリンパ節の腫れ、鼻詰まりなど。
- 口の中が痛い。
- 口内炎(口の粘膜が何か変)が2週間以上治らない。
- 口の粘膜の潰瘍(かいよう)やびらん(粘膜のはがれや傷)。
- どこかわからないが、出血する。
- 口の中のどこかに、「しこり」や「はれ」、肥大した部分がある。
- 舌、歯肉、頬の粘膜などに赤斑(赤い部分)がある。
- 舌、歯肉、頬の粘膜などに白斑(赤い部分が混ざることもある)がある。
- 顎(あご)が腫れて義歯(入れ歯)が合わなくなったり、違和感(変な感じ)がある。
- 舌や、口の中のその他の部分に、しびれ・麻痺感がある。
- 原因不明の歯のぐらつきが3週間以上続いている。抜歯後(歯を抜いた後)、なかなか治らない状態が3週以上続く。
- 首のぐりぐり(リンパ節)の腫れが3週間以上続いている。
- 鼻の片側だけに鼻詰まりがある。特に、膿(うみ)や血の混じった分泌物(鼻水)が出たりする場合。
口の中が痛い
悪性腫瘍の場合、痛みがあまりないものも多い。早期癌で潰瘍やびらんを作った場合、進行がんで大きくなってがんが神経を蝕んだり、痛み物質を出し始めた場合などに痛みを生じます

進行がん:歯科、耳鼻科などで大丈夫と言われ痛みが出るまで放置していた症例

進行がん:歯科、耳鼻科などで大丈夫と言われ痛みが出るまで放置していた症例
口内炎が2週間たっても治らない
通常の口内炎であれば数日から2週間程度で治るものが多いので、口内炎が持続する場合には、要注意です。


どこかわからないが、出血する
がんにより出血する場合があります。出血により、がんが見つかることも多いのです。歯周病による出血もありますが、重要な症状です。


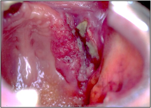
口の中のどこかに「しこり」や「はれ」肥大した部分がある
がんは「できもの(腫瘍)」ですから、口の中に、腫れた部分やしこりがある場合には要注意です。
ただ、良性腫瘍(がんではないできもの)や骨の出っ張り、正常の臓器でできものに見えるのなども多くありますので、過剰に心配されることはありません。



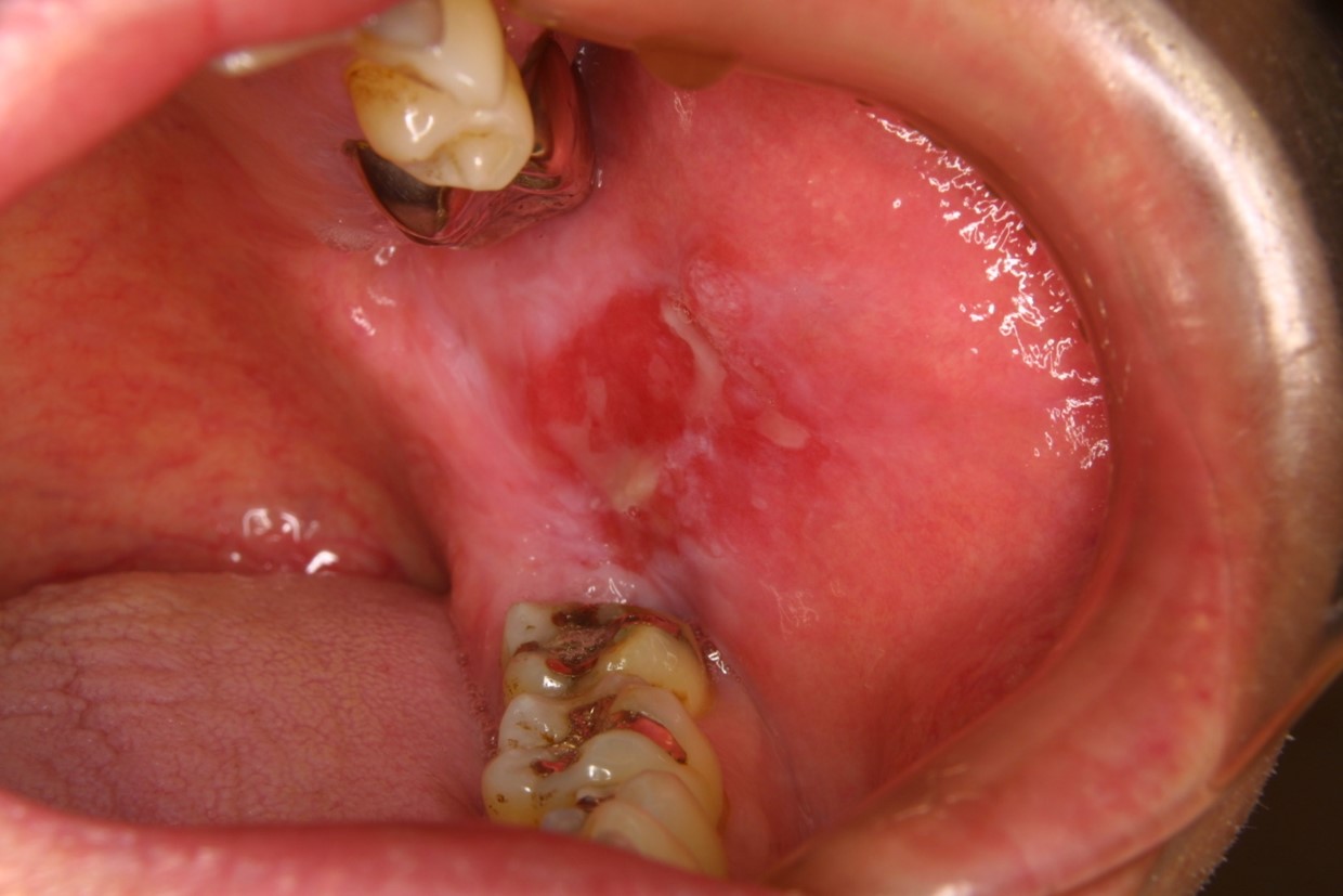
舌、歯肉、頬の粘膜などに赤斑(赤い部分)がある
前がん病変(がんになる前の状態の病変)の中に、紅板症というものがあります。この紅板症の約半分50%が、すでにがんになっていると言われています。紅のように赤く、少し、硬い感じがしたら要注意です。


舌、歯肉、頬の粘膜などに白斑(赤い部分が混ざることもある)がある
前がん病変(がんになる前の状態の病変)の中に、白板症というものがあります。この白板症の約6-10%が「がん」になると言われています。


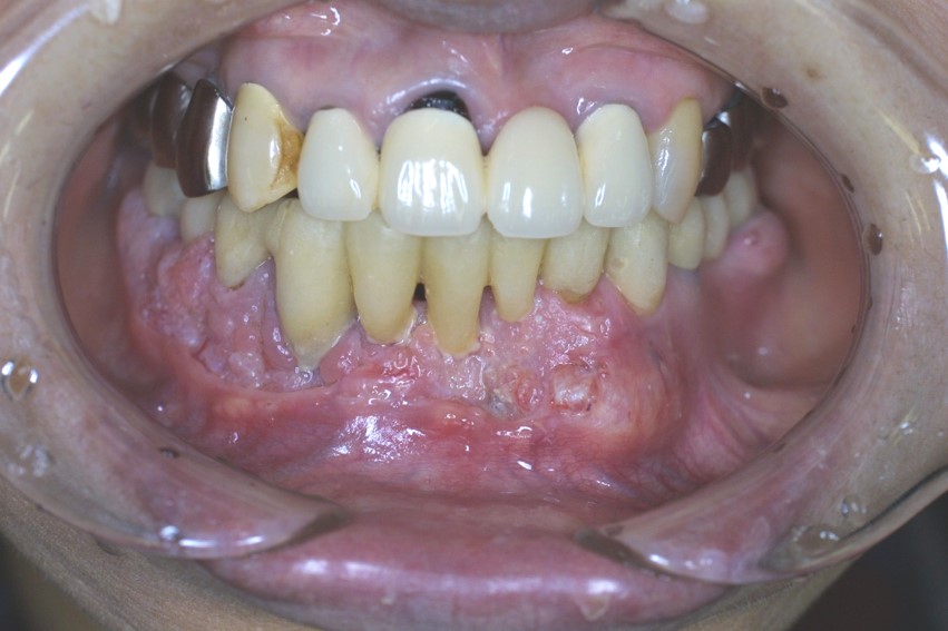
顎(あご)が腫れて義歯(入れ歯)が合わなくなったり、違和感(変な感じ)がある
入れ歯をしている方で、がんなどのできものにより、入れ歯が合わなくなり、噛みづらいなどの訴えをされる方がいます。


舌や、口の中のその他の部分に、しびれ・麻痺感がある
がんが、舌や頬などの感覚をつかさどる神経を蝕んだ場合には、舌や頬、その他の部分にしびれや麻痺感などの症状が出ます。


原因不明の歯のぐらつきが3週間以上続いている
抜歯後(歯を抜いた後)、なかなか治らない状態が3週以上続く。
歯肉がんの場合に、がんが歯を支えている骨を吸収することがあります。
ぐらついた歯の周りの歯肉が、汚く盛り上がっていたり、上皮に潰瘍やびらんがあれば要注意です。同様に、抜歯した後、3週間以上経っても、なかなか治らない場合も要注意です。


首のぐりぐり(リンパ節)の腫れが3週間以上続いている
がんが口の中を蝕んだ場合に、首のリンパ節が腫れることがあります。虫歯や歯周病などの炎症でも首のリンパ節は腫れますが、そのような原因もなく、くびのリンパ節が腫れた場合には要注意です。


鼻の片側だけに鼻詰まりがある
特に、膿(うみ)や血の混じった分泌物(鼻水)が出たりする場合。
鼻詰まりや膿は、鼻炎や上顎洞炎(蓄膿症:ちくのうしょう)などの場合にしばしばみられる症状です。
その他に、上顎洞の粘膜から、がんが発生することがあります。ここで、重要なのは片側にそのような症状が出現した場合には、要注意であるということです。












