放射線治療の副作用
放射線治療の副作用
がん細胞は細胞分裂を盛んに行っており、放射線治療によって正常細胞より損傷を受けやすいことがわかっており、このことを利用して放射線治療は行われます。しかし、正常な細胞も少なからず放射線照射の影響を受けます。
正常の細胞や臓器の種類により照射の程度は異なりますが、一般的に口腔内は細胞分裂が盛んであるため、放射線照射により比較的影響が強く現れます。しかし、急性期の副作用の特徴は時間が経てば必ず治るものなので、心配ありません。
急性障害
- 1.皮膚炎(皮膚の発赤・かゆみ)
外部照射では皮膚を通して放射線が体内に照射されるため、皮膚には必ず放射線が当たります。体内の深部にがんの病巣がある場合は、エネルギーの高い放射線が使用されるため、皮膚表面の線量は低く、日焼けした程度の発赤変化しか起こりません。
しかし口腔内に照射する場合は、皮膚面にも放射線が多く照射されるため、発赤を超えて強い皮膚炎が生じ、かゆみや痛みが出たりすることがあります。
皮膚表面の上皮が破れて湿性皮膚炎やびらんとなった場合は、軟膏処置などで皮膚炎の回復を待つことが必要となります。
およそ1ヵ月から6週間程度で回復しますが、大量に照射された場合は、まれに色素沈着や乾燥肌の状態が晩期の副作用として残ることがあります。
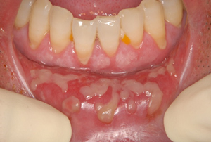
2.粘膜炎
口腔内に照射した場合は必ず粘膜炎(粘膜のやけどに近い状態)が起こり、痛みが出現します。
冷やしたり、粘膜保護剤や鎮痛薬、局所麻酔含有のうがい薬を投与しますが、症状が強い場合は食事ができなにくくなったり、できなくなることがあります。
その場合は食事の形を工夫したり、栄養剤を服用したり、鼻から栄養チューブを挿入して栄養をとる経管栄養が必要となります。
食事摂取量の減少で体重が大幅に減ることがあります。
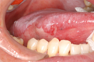
3.口腔内乾燥
唾液を産生する顎下腺や耳下腺などの唾液腺に照射されれば、唾液腺の機能低下により唾液分泌量が減少し、口腔内が乾燥します。この症状は徐々に回復しますが、照射後2~5年ほど続くこともあります。
完全に回復しないこともあり、その場合は唾液分泌を促す薬や人工唾液を用いて対応します。
4.味覚低下
舌にある味覚を感じる細胞が一時的に障害され、味覚が低下することがあります。
甘みが最初に障害されます。数ヶ月で元に戻ることがほとんどですが、稀に数年続く場合もあります。
5.骨髄抑制
骨髄がつくる血液成分の中で、最も影響されるのは白血球ですが、造血組織である骨髄に照射野に含まれない限り、骨髄抑制はほとんど起きません。
また赤血球の減少(貧血)や血小板減少も生じることもほとんどありません。
6.全身倦怠感
この症状は一時的なもので、安静にしていれば1~2週間で治ります。治療期間中は十分な休息をとり、十分水分補給することが大切です。
晩期障害
放射線治療による晩期の副作用は組織が障害を起こさない放射線の線量(耐容線量)以上の照射がされた場合に発症のリスクがあります。しかし、重篤な晩期の副作用はごく稀にしかあらわれません。
その発生は放射線の線量、照射部位などによって異なります。しかし、一度起こると治りにくいとされています。
口腔領域では皮膚の萎縮が起こったりや皮膚が硬くなったり、毛細血管か拡張して皮膚の表面に浮き出るなどの副作用があります。
また、唾液腺が照射部位に含まれた場合には、唾液の分泌が低下し、機能も完全には回復しないこともあります。
下顎骨が照射範囲に含まれていた場合、骨に炎症を起こし骨髄炎を引き起こすことがあります。
放射線性骨壊死といって、骨の細胞が死んでしまうことにより、骨が腐ってしまう可能性がありますが、照射の際に下顎骨を保護するような装置をつけることで、この副作用が起こる可能性はかなり低くすることができます。
また、歯を抜くことによって、惹起されることもありますので、十分注意し、歯科医師との相談が大切です。
最後に、照射範囲に放射線が原因でかんが発生することがあります。しかし照射した部位にがんを発生する放射線誘発がんの確率は非常に少なく、最低でも10年前後の潜伏期間があるため、がんの治療において気にする必要はありません。
温熱療法のがんに対する効果のメカニズム
口腔癌の患者さんで口の周囲に放射線がかかる患者さんに放射線性口内炎は発症します。
放射線治療は毎日少しの量の放射線(2Gy) を6~7 週間にかけて照射することが多く、口内炎は、治療開始後2 週間ごろから始まります。口腔がん治療で起こる口内炎は、放射線治療で口の中の癌を治療する時に生じることが多いですが、その他にも抗がん剤による治療でも口内炎が起こります。
これらの治療により、口腔粘膜が赤く腫れ気味になり、それとともに表面が少しでこぼことなり、粘膜の一部がはがれて潰瘍(かいよう)ができる場合もあります。
そうなると痛みも強くなり、食事も口からとることができないほどになることもあります。
治療終了後も口内炎が治るまで約2~3 週間かかります。
抗がん剤と放射線の同時併用した場合にはさらに、口内炎の症状が強く、また長期間続きます。口内炎には強い痛みが伴います。特に口の粘膜からのどの粘膜に口内炎が広がると食べ物ばかりでなく、水などの液体をとることもつらくなってきます。この状態が長期間続くと、栄養不足や脱水状態になります。






放射線性口内炎に対する対応
口腔内清掃とうがい
口内炎がある時期は、何をしても粘膜の痛みが強く、通常の歯磨きをしたり、うがいをしたりするのがつらくなります。しかし、だからと言って口の掃除を行わないと、口腔内が不衛生になり、細菌がふえて、唾液と一緒に細菌が肺の方に入り込み、肺炎を起こすことがあります。また、口内炎の部分から細菌が血管に入り込み、血管を通して全身に広がり、高熱を出したりします。このようにならないように、口腔内の清掃とうがいが非常に重要になります。
放射線性口内炎に対する口の掃除方法
普段の生活と同じように歯ブラシ、歯磨き剤を使った歯磨きを行います。しかし、口内炎があるときには、歯ブラシは、「やわらかめ」のもので、頭の部分(ヘッド)が小さいものを選んで使います。また、歯磨き剤も刺激の少ないものを選び、場合によっては水だけで磨くとよいでしょう。
特に、口内炎が強い場合には、粘膜が痛くて口を大きく開けることができないので、小さい頭の歯ブラシで口内炎のある部分を避けて、歯や歯の周囲の歯ぐきだけをていねいに磨きます。
歯磨きをすると吐き気がする、歯ブラシで磨くと粘膜から出血する危険性がある、口内炎の痛みが強くて磨けないなど、口の掃除ができない場合は、無理をしないでぬるま湯(体温程度)、または生理食塩水を使って、ぶくぶくうがいを行います。










