統合医療
口腔癌に対する新しい治療戦略である「統合医療」について。
統合医療・補完代替医療とは
統合医療や補完医療は、従来の医学的な治療に加えて補足的に他の施術・療法を行うというときに用いられます。日本補完代替医療学会では補完代替医療を「現代西洋医学領域において、科学的未検証および臨床未応用の医学・医療体系の総称」と定義し、米国の国立補完代替医療センター(NCCAM)では、補完代替医療を「現段階では通常医療と見なされていない、様々な医学・健康管理システム、施術、生成物質など」と定義しています。
がん患者さんにおいては、がんの種類によって違いはありますが、おおむね40~60%のがん患者が、さまざまな統合医療、補完代替医療を利用していることが明らかとなっています。
米国では、そのような現状をふまえ国家予算を投じて補完代替医療の情報収集・発信、科学的検証に積極的に取り組んでおり、年間約1億ドル以上の予算が、米国国立補完代替医療センター(NCCA)に配分され補完代替医療の科学的検証(おもに臨床試験)が行われています。 英国や、ドイツなどの欧州においても積極的に統合医療が実践されています。
日本でも、厚生労働省や独立行政法人国立健康・栄養研究所などでは、健康食品・サプリメントなどの安全性の情報や一部のものについては有効性に関する情報をウェブサイトに掲載し、情報の集積・発信の取り組みが始まっています。
住所:〒100-8916 東京都千代田区霞が関1-2-2
電話:03-5253-1111
住所:〒162-8636 東京都新宿区戸山1-23-1
電話:03-3203-5721
健康補助食品・サプリメントの利用に際して覚えておいて欲しい点は、「天然物質、食品・食物だからといって、それは安全であることを意味しているわけではない」ということです。がん患者さんの中には、「医薬品=副作用を有する危険なもの、健康補助食品・サプリメント=食べ物だから副作用がないので、どれだけ摂取しても大丈夫」といった誤解を抱いている場合も見受けられます。その結果、現代西洋医学を完全に否定し、科学的根拠のない治療法を選択して不幸な結果になることだけは、絶対に避けなければなりません。
高濃度ビタミンC点滴療法
超高濃度(50g以上)のビタミンCの投与は、抗がん作用があることが科学的に実証されています。
超高濃度ビタミンC点滴は現在、米国の国立がん研究所(NCI)において研究が進んでいる最先端のがん治療法です。今や全米で1万人の医師が実践するがん治療として認知されており、副作用のほとんどない抗がん剤として注目されています。
東京銀座シンタニ歯科口腔外科クリニックでは高濃度ビタミンC点滴療法による口腔がんの治療、予防を行っております。
がん予防・治療に使われる理由
大量のビタミンCが点滴されると、血管内のビタミンCは血管外の組織に漏れ出ていきます。
そして高濃度となったビタミンCが、がん細胞の周囲で鉄などの微量な金属とフェントン反応を起こして活性酸素のひとつである過酸化水素が発生します。
この活性酸素である過酸化水素がおよそ30分でがん細胞に対して作用し抗がん効果を発揮すると言われています。一方、正常細胞はカタラーゼという酵素が過酸化水素を中和するので影響をまったく受ません。がん細胞の多くはこのカタラーゼが欠乏してために過酸化水素を中和できずにダメージを受けて破壊されてしまいます。すなわち、ビタミンCは高濃度になると栄養素ではなく抗ガン剤として働くのです。
高濃度ビタミンC点滴において、このがん細胞を殺せる血中濃度は、およそ1時間持続します。
高濃度ビタミンCが、がん細胞周囲で鉄などの微量な金属とフェントン反応を起こし、過酸化水素が発生する。
この活性酸素である過酸化水素が、がん細胞に対して作用し抗がん効果を発揮する。
Pharmacologic ascorbic acid concentrations selectively kill cancer cells: Action as a pro-drug to deliver hydrogen peroxide to tissues. Qi Chen, Michael Graham Espey, et al.
NIH:アメリカ国立衛生研究所 NCI:アメリカ国立癌研究所 FDA:アメリカ食品医薬品局
高濃度ビタミンC点滴では早期がんよりももっと早い段階のいわば超早期のがんを叩くことも出来るわけですから、再発や未だ発症していないガンの予防としても有効な手段となりえるというわけです。
さらに、ビタミンCはミトコンドリアの機能を正常化し、インターフェロンの産生、マクロファージの食作用の亢進、NK細胞数の増加と遊走能の亢進など免疫システムを刺激し、癌抑制遺伝子(がんの発生を抑える遺伝子)P53遺伝子を安定化します。
すなわち、ビタミンCはガンの抗がん作用を発揮しながらで免疫力を高めるという、これまでにない理想の化学療法剤であるわけです。
過酸化水素はDNAミトコンドリヤ解糖系に影響して癌細胞を破壊する。
9L-神経膠芽腫(悪性脳腫瘍細胞)
治療群にはビタミンCを1日2回 4mg/g/BWを腹腔内投与コントロール群には生理食塩水を1日に2回腹腔内投与ビタミンCを投与すると癌の転移が見られなかった。
Biochemical and Biophysical Research Communicationsより
High dose of ascorbic acid induces cell death in mesothelioma cells. Yukitoshi Takemura, Motohiko Satoh, Kiyotoshi Satoh, Hironobu Hamada, Yoshitaka Sekido,Shunichiro Kubota.
高濃度のアスコルビン酸は中皮腫の細胞死を誘導する
東京大学大学院総合文化研究科、愛媛大学大学院、愛知がんセンター研究所、名古屋大学大学院
医学的背景
2005年、アメリカ国立健康研究所、国立ガン研究所、国立食品医薬品局の科学者が共同で「高濃度のビタミンCはガン細胞を殺す」という論文をアメリカ科学アカデミー紀要に発表しました。
Pharmacologic ascorbic acid concentrations selectively kill cancer cells: action as a pro-drug to deliver hydrogen peroxide to tissues. Proc Natl Acad Sci U S A. 2005; 102(38):13604-9
続いて、2006年3月には高濃度ビタミンC点滴療法で長期生存を続けている3人のガン患者さんについてカナダ医師会雑誌に論文が発表され、2007年には「高濃度ビタミンC点滴療法がガン患者の痛み、倦怠感、食欲低下、不眠などの諸症状を改善し、QOL (生活の質)を改善する」との論文発表がされています。
Intravenously administered vitamin C as cancer therapy: three cases. CMAJ. 2006 March 28; 174(7): 937–942. Changes of terminal cancer patients' health-related quality of life after high dose Vitamin C administration. Korean Med Sci. 2007 Feb;22(1):7-11.
現在、アメリカやカナダの多くの医師が、がん患者に高濃度ビタミンC点滴療法を行うようになり、この治療を受ける患者の数は急増しています。カンザス大学、ジェファーソン大学、アメリカの民間ガン専門総合病院グループはそれぞれアメリカ国立健康研究所の認可を得て卵巣ガン、悪性リンパ腫、すい臓ガンなどあるいは、全身にがんが転移したような末期ガンに対する高濃度ビタミンC点滴療法の効果について臨床研究を開始しています。
CMAJ 2006 Intravenously Administered Vitamin C as Cancer Therapy:Three cases.ビタミンC点滴療法が奏功したガン症例(3例)腎臓癌・膀胱癌・悪性リンパ腫カナダ医師会雑誌 CMAJ 2006;174(7):937-42 NIH:アメリカ国立衛生研究所 NCI:アメリカ国立癌研究所 マギル大学(カナダ)医学研究所 他
療法の適応
- 標準的がん治療が無効の場合
- 標準的がん治療の効果をより確実にする (a.標準的がん治療の副作用を少なくする)
- 良好な体調を維持しながら寛解期を延長させる
- 代替治療を希望する場合など
- 有効な抗ガン剤や放射線治療がある場合は併用を推奨
※この治療が有効なガンの種類については口腔がんも含め、まだ研究段階です。
副作用・有害事象(1)
副作用として①点滴刺入部の痛み、②眠気やだるさ、③嘔気や頭痛、④低血糖症状(冷感、疲労感、めまいなど)が見られると言われていますが、②以外の副作用はめったに出ません。なお、②の副作用は、花粉症などのアレルギーの薬を飲んだときに眠気を感じるのと同様に抗ヒスタミン作用によるものです。
まれにビタミンCが体質に合わないG6PD欠損症の方がおられますので、初回に検査を受けてもらい、検査結果後、週1回のビタミンC点滴を3ヶ月間行います。4ヶ月目からは月に1回ビタミンC点滴投与をお勧めします。
※透析中の方、重症の心不全の方、高度の腹水、胸水の貯留している方は,治療ができない場合がありますのでご相談ください。
副作用・有害事象(2)
高濃度ビタミンC点滴療法で有名なアメリカのカンザス州ウイチタ市にある国際人間機能改善センター(The Center for the Improvement of Human Functioning International) での15年間、3万件以上の高濃度ビタミンC点滴療法では、1例ですが点滴初日に腫瘍から出血を起こした事例の報告がありますが、大事には至っていません。このような腫瘍出血はこれまでの抗ガン剤の投与でも見られる副作用です。
高濃度ビタミンC点滴療法終了後の数時間は、簡易血糖測定器で測る血糖値が高値になります。これは見かけ上、高いだけで、実際の血糖値はもっと低い値になります。したがって自己血糖測定をしてインシュリンの注射量を決めている糖尿病患者ではインシュリンの量に注意しなければなりません。
殆ど副作用のない安全な治療だと言えます。
IVC投与の実際
最初はビタミンC25gから点滴を始め、50gと増量します。典型的な例では週に2回の点滴で6ヶ月間継続、その後の経過が良ければ週1回を6ヶ月、さらに2週に1回を1年間、その後は月に1回行います。
ビタミンCの量と点滴頻度は病状によって変えていきます。なお、この治療を続けることにより免疫システムの増強、ガン性疼痛の軽減、食欲の改善や体調の改善が期待できます。
使用する注射用ビタミンC製剤
高濃度ビタミンC療法を行う場合には、防腐剤入りの国産ビタミンC注射薬は使用できません。
高濃度ビタミンC点滴では、外国製の防腐剤の入っていない、安全なビタミンC注射薬(1本25g)を使います。国産の注射薬には全て防腐剤(ピロ亜硫酸ナトリウム、チオグリコール酸ナトリウム)が添加されているので、高濃度ビタミンC点滴には向きません。
また、ビタミンC注射薬は温度に不安定なため、製造工場からクリニックに届けるまで2~8℃の冷蔵保管が義務づけられていますが、この規則を守らないで、冷蔵せずに輸入する業者もいます。
当院で使用するビタミンC製剤は、アイルランド工場から冷蔵コンテナで日本に輸入しているマイラン社製(Mylan Institutional)ビタミンC注射液を使用しています。
治療の流れ
- 1回目 ビタミンC25g点滴(約40分)週2回
- 2回目 ビタミンC50g点滴(約60分)週2回-6か月
- 3回目 ビタミンC50g点滴(約60分)週1回-6か月
- 4回目 ビタミンC50g点滴(約60分)2週1回-6か月
フコイダン療法
東京銀座シンタニ歯科口腔外科クリニックではフコイダン療法による口腔がんの治療、予防を行っております。
「フコイダン」とは、モズクやメカブ、昆布などの褐藻類などのヌルヌル成分の中に含まれる多糖類のことです。海藻類の中のヌルヌル成分の中に多く含まれることが判ったのが「フコイダン」で、乾燥重量の約4%含まれます。
「フコイダン」は、硫酸化多糖類の仲間で海藻の種類によっても異なってきますが、モズクには特に「硫酸化フコース」「フコース」が多く含まれているといわれ、この「硫酸化フコース」「フコース」が、癌(がん)に対して有効であることが判ってきました。癌(がん)治療で一般的に使われる抗がん剤は、癌(がん)細胞にもダメージを与える反面、同時に正常細胞にも 多くのダメージを与えてしまいます。
「フコイダン」は、正常細胞をより強化(免疫力強化、マクロファージの活性化、NK細胞の増強活性化)し、同時に癌(がん)細胞 に対してのみ増殖抑制する可能性を持っています。更に癌(がん)の抑制ではなく、癌(がん)細胞自体を死に追いやっていくことも基礎的な研究で示され始めました。
「フコイダン」の医学的なメカニズムは、全てが解明されているわけではありませんが、明確になってきているものは、以下の3つが挙げられます。
1.癌(がん)細胞に対するアポトーシス作用
私たち人間の身体は、細胞で構成 されており、細胞は新陳代謝によって常に新しい細胞に、入れ替わっています。正常細胞は、一定期間を過ぎると自らが死を選んで死んでいくように遺伝子の情報の中に組み込まれています。このように細胞が自ら死を選んで死んでいく作用 のことを医学用語でアポトーシスと言います。
しかし、癌(がん)細 胞はこのアポト-シスを起こさずに死ぬことがなく、増え続けるのです。そそ癌(がん)細胞を自殺に追い込む可能性が「フコイダン」にあるという研究結果が出てきています。
2.免疫力強化
癌(がん)細胞の増殖を免疫能を上げることで、抑えることがフコイダンにあることが研究によりわかってきています。
3.新生血管抑制
癌(がん)細胞は異常に増殖するため栄養が必要で自ら血管を生き残るために細胞の周りに呼び込みます。それを抑える効果がフコイダンにあることが報告されてきています。つまり、フコイダンが、癌(がん)による新しい血管を作らせず、結果的にがん細胞の内部に栄養が行かなくなり、内部から壊死していくということになります。
治療例
フコイダン著効例 (右側歯肉頬粘膜扁平苔癬)

フコイダン投与 前日 BEFORE
フコイダン投与 1ヶ月後 AFTER
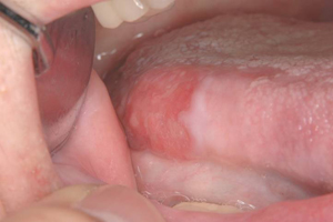
67歳女性 フコイダン有効例 (右側舌白板症)

フコイダン投与 前日 BEFORE
フコイダン投与 1ヶ月後 AFTER
72歳女性 フコイダン有効例 (右側紅板症)

フコイダン投与 前日 BEFORE
フコイダン投与 1ヶ月後 AFTER
75歳女性 フコイダン著効例 (左側歯肉頬粘膜扁平苔癬)

フコイダン投与 前日 BEFORE
フコイダン投与 1ヶ月後 AFTER
アルファリポ酸
強力な抗酸化物質であるアルファリポ酸を内服することにより、ビタミンCの抗がん効果を増強します。また、がんの発生や進行の原因となるフリーラジカルを除去する働きもあります。
その他
現在までに日本でがんに対する効果などが話題になった栄養素、サプリメントです。現在のところ明らかな科学的な根拠をもって抗がん効果があるものはないようです。
アガリクス
アガリクス茸は、学名をアガリクス・ブラゼイ・ムリル(Agaricus blazei Murill)、和名はカワリハラタケ(慣用名;アガリクスまたはヒメマツタケ)という担子菌類ハラタケ科のキノコです。1980年に三重大学医学部の伊藤均らがヒメマツタケ(アガリクス)の抗腫瘍活性を報告してから抗がん効果に期待が寄せられ、わが国において精力的に研究が進められています。アガリクス茸の抗がん効果(抗腫瘍活性、免疫賦活作用)の有効成分として、β-グルカンや低分子分画のAMBK-22などが知られています。また具体的な免疫賦活作用としてはマクロファージ・NK細胞の活性化、樹状細胞の活性化および成熟化誘導等が報告されていますが、いずれも培養細胞・実験動物での研究報告です。
プロポリス
プロポリスとは、ミツバチが樹木の特定部位、主として新芽や蕾および樹皮から採集したガム質、樹液、植物色素系の物質および香油などの集合体に、ミツバチ自身の分泌物、蜂ろうなどを混合してつくられた暗緑色や褐色から暗褐色を呈した粘着性のある樹脂状の固形天然物である」と定義されており、植物由来の複合物であるため、その産地によってプロポリスの成分内容の比率が異なっていることが指摘されています。含有成分は300種類以上あるといわれていますが、その作用に関しては機能性食品素材便覧によると、「薬として用いられた歴史は古く紀元前350年にさかのぼる。ギリシャ人は膿瘍に、アッシリア人は傷や腫瘍の治癒にプロポリスを用いていた。現在でも外用では、消毒や抗菌をおもな目的に、経口では、結核などの各種感染症、十二指腸潰瘍などの消化器疾患に対して用いられ、免疫賦活効果も期待されている。しかし、外用以外の効果については科学的実証が十分ではない」と記載されています。
AHCC(エー・エイチ・シー・シー)
AHCC(Active Hexose Correlated Compound)は、「担子菌類の菌糸体を液体タンクで培養し、各種酵素処理、熱水抽出して得られた活性化糖類混合物の総称」とされています。有効とされている成分は、β-グルカンとアセチル化α-グルカンとされていて、免疫賦活作用、抗腫瘍作用等が培養細胞実験、動物実験にて確認されています。
サメ軟骨
サメ軟骨は、創傷治癒促進のため、そして非腫瘍性の慢性炎症性疾患の治療のため、1950年代から使われてきました。抗腫瘍活性としては動物実験や前臨床試験などから、直接の細胞傷害作用、免疫系の賦活作用、血管新生の阻害作用の3つが考えられています。サメ軟骨は、米国において複数のヒト臨床試験が行われている素材です。しかし、その結果「サメ軟骨は単独で使用した場合、抗腫瘍効果は認められず、生活の質(QOL)に関してもプラスにならない」と結論づけています。










